Fehler in der Hülle

Zusammenhänge in Zellen aufgedeckt, die Nervenbahnen isolieren
Schwann-Zellen bilden eine Schutzhülle um Nervenfasern und sorgen für eine schnelle Weiterleitung von Nervenimpulsen. Fehlen sie oder sind sie defekt, kann es zu schweren Nervenerkrankungen kommen. Forscherinnen und Forschern des Instituts für Biochemie ist es gelungen, einen komplexen Zusammenhang innerhalb der Schwann-Zellen aufzuzeigen, der eine wichtige Rolle für die korrekte Zellreifung spielt. Ihre Ergebnisse haben sie in der Zeitschrift Nature Communications veröffentlicht.
Isolierung und Versorgung
Seit Jahren verbringen Dr. Franziska Fröb und Prof. Dr. Michael Wegner den Großteil ihrer Zeit mit einem einzigen Zelltyp im menschlichen Körper – den Schwann-Zellen. Ähnlich der Isolierung bei einem Stromkabel umhüllen sie im peripheren Nervensystem die Nervenfasern, die Nervenzellen mit Muskelzellen und Umgebung verbinden und Impulse übertragen. Ist diese Myelinscheide genannte Hülle defekt, wird der Informationsaustausch langsamer, falsch oder findet gar nicht mehr statt. Auch können die Nervenfasern mit den dazugehörigen Nervenzellen ganz absterben, da die Schwann-Zellen sie zugleich auch mit Nährstoffen versorgen. Die Folge für Patienten und Patientinnen: Schmerzen, Taubheitsgefühl, Muskelschwund oder Probleme, Hände und Füße richtig zu bewegen.
Netzwerke besser verstehen
Das Ziel von Forscherinnen und Forschern wie Dr. Fröb und Prof. Wegner vom Lehrstuhl für Biochemie und Pathobiochemie ist es, Personen, die an Krankheiten wie Diabetischer Neuropathie, der Charcot-Marie-Tooth-Krankheit oder dem Guillain-Barré-Syndrom leiden, irgendwann einmal helfen zu können. Doch bis dahin ist es noch ein weiter Weg: Nach mehr als 25 Jahren Forschung an diesem Zelltyp sind zwar mittlerweile die meisten Eiweiße und Eiweißkomplexe bekannt, die bei der Entwicklung und Ausreifung von Schwann-Zellen eine Rolle spielen. Jedoch beeinflussen sich die Eiweiße wiederum gegenseitig. Bei der Frage der Zusammenhänge in diesem regulatorischen Netzwerk steht die Forschung noch am Anfang. „Erst wenn wir die Netzwerke noch besser verstanden haben, können wir an Therapien denken“, fasst Prof. Wegner den aktuellen Wissensstand zusammen.
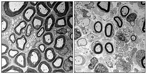
Der FAU-Arbeitsgruppe ist es nun zum ersten Mal gelungen, einen solch komplexen Zusammenhang aufzuklären. Im Mittelpunkt steht ein Eiweiß mit dem Namen „EP400“, dessen Vorkommen in Schwann-Zellen das Team erst kürzlich selbst entdeckt hat. Das Eiweiß sorgt in den Schwann-Zellen zusammen mit anderen Eiweißen dafür, dass die DNA richtig verpackt und mit Lesezeichen versehen wird. Das Verpacken ist immens wichtig, um die Erbinformationen möglichst kompakt im Zellkern unterzubringen. Die Lesezeichen erlauben das Auffinden und Ablesen der benötigten Informationen. In ihren Versuchen entfernten die Wissenschaftler das Eiweiß aus Schwann-Zellen. Daraufhin schaltete sich das Programm zur Zellentstehung nicht mehr korrekt ab und überlagerte das eigentlich folgende Reifungsprogramm, so dass einige nicht mehr gebrauchte Proteine unvermindert weitergebildet, andere benötigte Proteine aber nicht in ausreichendem Maß hergestellt wurden. Dies führte dazu, dass die Myelinscheiden der Schwann-Zellen nur mit Defekten ausreiften – sie waren zu dünn und kurz, entsprechend fehlerhaft die gesamte Schutzhülle der Nervenfasern. Als die Wissenschaftler eines der normalerweise durch EP400-regulierten, fehlerhaft weiter produzierten Eiweiße mit dem Namen „Tfap2a“ zusätzlich entfernten, verringerten sich die Defekte merklich.
„Wir freuen uns natürlich, dass uns ein so wichtiger Schritt gelungen ist, die komplexen Abhängigkeiten innerhalb der Schwann-Zellen zu verstehen“, erklärt Prof. Wegner. „Unsere Ergebnisse deuten darauf hin, dass DNA-Strukturänderungen durch Eiweiße, wie EP400, sehr wichtig sind und auch nützlich sein könnten, um in Zukunft Therapien für Erkrankungen des peripheren Nervensystems zu entwickeln.“
Weitere Informationen
Prof. Dr. Michael Wegner
Tel.: 09131/85-24620